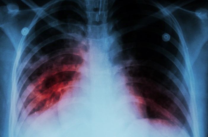
Ötən il 198 uşaq və yeniyetmə vərəmə yoluxub

15:28 11 Mart 2026

Ötən il 198 uşaq və yeniyetmə vərəm xəstəliyinə yoluxub.

Sitat.info xəbər verir ki, bunu Səhiyyə Nazirliyi Elmi Tədqiqat Ağciyər Xəstəlikləri İnstitutunun direktoru İradə Axundova deyib.

O bildirib ki, 2024-cü il üçün bu göstərici 278 olub.

"2015-ci ildə hər 100 min nəfərə düşən vərəmlə xəstələnmə göstəricisi 41,1 olduğu halda, 2025-ci ildə bu rəqəm 21,5-ə enib. Vərəm xəstələrinin təxminən üçdə ikisini kişilər, üçdə birini isə qadınlar təşkil edir. Xəstəliyin aşkarlanma səviyyəsi də əhəmiyyətli dərəcədə artıb. Belə ki, 2015-ci ildə bu göstərici 53 faiz olduğu halda, 2025-ci ildə 86 faizə çatıb”, deyə o bildirib.

 



Xəbər xətti